矯正治療の症例とリスク
■叢生(八重歯、でこぼこなど)
 歯がでこぼこに生えている状態を叢生(そうせい)といいます。
歯ブラシがゆきとどかず歯の汚れが残りやすく、むし歯、歯槽膿漏、口臭などの原因になることもあります。 
■上顎前突(出っ歯)
 上顎、または上の前歯が前方に出ている状態を、上顎前突(じょうがくぜんとつ)といいます。
歯を折りやすいなど外傷につながりやすく、唇を閉じにくいことが多く、見た目にも口元が気になることもあります。 
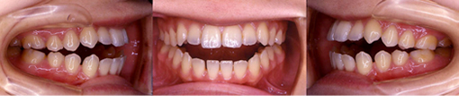
■反対咬合(受け口)
 下の歯が上の歯より前に出ている噛み合わせを、反対咬合(はんたいこうごう)といいます。
受け口の人は、食べ物がよくかめないだけでなく、聞き取りにくい話し方になります。また、顔つきもしゃくれた感じになり、見た目にも気になる場合が多いです。 
■開咬
 口を閉じても歯が噛み合わずに開いている状態を開咬(かいこう)といいます。
指しゃぶり、口呼吸、舌を前に突き出すなどの悪い癖が原因となることが多いです。開咬は、食べ物を噛みにくく、発音もしにくくなり、顎関節にも負担がかかります。 
■過蓋咬合
 噛み合わせが深く、上の歯が下の歯に深くかぶさっている状態を過蓋咬合(かがいこうごう)といいます。
噛み合わせが深いことにより歯がすり減ったり、笑ったときに歯茎が多く見えたりすることがあり、顎関節にも負担がかかります。 
■上下顎前突
 上の前歯も下の前歯も前に出ている状態を上下顎前突(じょうかがくぜんとつ)といいます。
口元全体が前に出て唇が閉じにくく、普段から口を開いていることが多くなります。歯並びは良くても、口元の見た目が気になったり 、口呼吸になりやすくなります。
■矯正治療のリスク
矯正治療には以下の一般的なリスク・副作用があることをご理解ください。
ただし、すべてのリスクや副作用が生じるわけではありません。
- 装置装着直後は矯正装置による不快感、痛み等があります。通常、数日から1、2週間で慣れることが多いです。
 - 歯の動き方には個人差があり、予測した治療期間が延長する可能性があります。
 - 生活習慣の改善、舌や口腔周囲筋のトレーニング、装置、顎間ゴムの使用状況、定期的な通院等、矯正治療には患者さんの協力が非常に重要であり、それらが治療結果や治療期間に影響します。
 - 治療中は、装置が付いているため歯が磨きにくくなります。むし歯や歯周病のリスクが高まりますので、丁寧に磨いたり、定期的なメンテナンスを受けたりすることが重要です。また、歯が動くことにより隠れていたむし歯が見えるようになることもあります。
 - 歯を動かすことにより歯根が吸収して短くなることがあります。また、歯肉が下がり知覚過敏が出ることがあります。
 - ごくまれに歯が骨と癒着していて動かないことがあります。
 - ごくまれに歯を動かすことで神経が障害を受けて壊死することがあります。
 - 治療途中に金属等のアレルギー症状が出ることがあります。
 - 治療中に「顎関節で音が鳴る、顎が痛い、口が開けにくい」などの顎関節症状が出ることがあります。
 - 様々な問題により、当初予定した治療計画を変更する可能性があります。
 - 歯の形を修正したり、咬み合わせの微調整を行ったりする可能性があります。
 - 矯正装置を誤飲する可能性があります。
 - 装置を外す時に、エナメル質に微小な亀裂が入る可能性や、かぶせ物(補綴物)の一部が破損する可能性があります。
 - 装置が外れた後、保定装置を指示通り使用しないと後戻りが生じる可能性が高くなります。
 - 矯正治療終了後、現在の咬み合わせに合った状態のかぶせ物(補綴物)やむし歯の治療(修復物) などをやりなおす可能性があります。
 - 顎の成長発育によりかみ合わせや歯並びが変化する可能性があります。
 - 治療後に親知らずが生えて、凸凹が生じる可能性があります。加齢や歯周病等により歯を支えている骨がやせるとかみ合わせや歯並びが変化することがあります。その場合、再治療等が必要になることがあります。
 - 矯正歯科治療は、一度始めると歯並びを元の状態に戻すことは難しくなります。
 
